اخبار العرب -كندا 24: السبت 18 أبريل 2026 03:15 صباحاً دبي، الإمارات العربية المتحدة (CNN)-- تبدو هذه الصورة أشبه بشريحة لحم تتمتّع بدرجة عالية من الترخيم (توزيع الدهون)، على نحو قد يذكّرك بقطع اللحم الفاخرة في المطاعم، الغنية بخيوط دقيقة من الدهون المتداخلة.
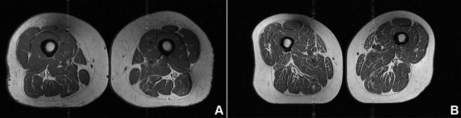
لكن تُظهر هذه الصورة تصويرًا بالرنين المغناطيسي (MRI) لفخذ امرأة تبلغ من العمر 62 عامًا، كانت تحصل على 87% من سعراتها الحرارية السنوية من الأطعمة فائقة المعالجة.

وقالت الدكتورة زهراء أكّايا، الباحثة والمستشارة في مجموعة أبحاث التصوير العضلي الهيكلي السريري الانتقالي في جامعة كاليفورنيا، بسان فرانسيسكو: "كان النظام الغذائي لهذه المشاركة يعتمد بشكلٍ رئيسي على حبوب الإفطار الباردة، والشوكولاتة، والحلوى، والمشروبات الغازية العادية أو المشروبات المعبأة الغنية بالسكر".
وأوضحت أكّايا، المؤلفة الرئيسية لدراسة جديدة حلّلت تأثير الأطعمة فائقة المعالجة على الدهون داخل العضلات لدى أشخاص معرضين لخطر هشاشة مفصل الركبة، أنّ الخيوط الدهنية الخفية المتغلغلة بين ألياف العضلات وداخلها قد تكون مؤشرًا على مشاكل صحية خطيرة.
ارتبطت الأطعمة فائقة المعالجة بمشاكل صحة عديدة منها:
- زيادة الوزن،
- والسمنة،
- وتطور أمراض مزمنة تشمل السرطان،
- وأمراض القلب والأوعية الدموية،
- وداء السكري من النوع الثاني،
- والاكتئاب،
- بل وقد تساهم أيضًا في تقصير العمر.
كما أظهرت امرأة أخرى في الدراسة، تبلغ من العمر 61 عامًا، وجود ترخيم دهني في عضلات فخذها، لكنه كان أقل حدة، إذ شكّلت الأطعمة فائقة المعالجة نحو 29% من نظامها الغذائي السنوي.
وقالت أكّايا: "كان ذلك مقلقًا لأنّ هؤلاء الأفراد الذين خضعوا للتصوير في وقت لم تظهر لديهم فيه أي علامات على التهاب الركبة، كانوا بالفعل يُظهرون تدهورًا في جودة العضلات".
العلاقة بين دهون العضلات وألم الركبةتُضعف الخلايا الدهنية العضلات عبر إعاقة نموها، إذ تمنع ألياف العضلات من التجدد بشكلٍ سليم.
وتُعد العضلات الضعيفة عاملًا رئيسيًا في الإصابة بالتهاب الركبة، أكثر أمراض المفاصل شيوعًا، إذ تصيب نحو 375 مليون شخص حول العالم.
وبعدما كان يُنظر إليها سابقًا على أنّها مرض مرتبط بكبار السن، أظهرت إحدى الدراسات أنّ أكثر من نصف الحالات الجديدة تُصيب أشخاصًا دون سن 55 عامًا، ويُعزى ذلك على الأرجح إلى الارتفاع الحاد في معدلات السمنة عالميًا.
وشرحت أكّايا: "تُعد عضلات الفخذ أساسية لاستقرار مفصل الركبة، وأي تراجع في قوتها أو أنسجتها قد يزيد من الضغط الميكانيكي على المفصل، لا سيما لدى الأفراد الذين يعانون من السمنة، حيث يُضاعف الوزن الزائد هذا العبء".
قد يهمك أيضاً
وتابعت: "لقد أثبت فريقنا وباحثون آخرون سابقًا وجود روابط قوية بين قوة العضلات وجودتها ووظيفتها، وبين تطور خشونة مفصل الركبة".
وأشارت الدكتورة ميريام بريديلا، اختصاصية الأشعة ومديرة معهد العلوم السريرية والترجمية بمركز لانغون الصحي في جامعة نيويورك، إلى أنّ وجود الدهون داخل عضلات الفخذ يعني تأثر عضلات أخرى في الجسم أيضًا.
وقالت: "إنّها عملية منهجية، ولا تقتصر على الفخذ فقط. يمكنك النظر إلى عضلات أخرى، مثل عضلات الساقين أو الكتفين أو البطن، وستبدو متشابهة".
هل الأطعمة فائقة المعالجة هي السبب؟حلّلت الدراسة الجديدة، التي نُشرت في مجلة "Radiology" الثلاثاء، صور الرنين المغناطيسي لـ615 مشارِكًا في مبادرة "Osteoarthritis Initiative"، وهي دراسة بحثية وطنية تهدف إلى فهم كيفية الوقاية من التهاب الركبة وعلاجها.
ولم يُظهر أي من المشاركين علامات مرض، وكان متوسط أعمارهم 60 عامًا، ومتوسط مؤشر كتلة الجسم (BMI) 27.
وعند حساب مؤشر كتلة الجسم:
- يُصنَّف 25 إلى 29.9 كوزن زائد
- يُصنَّف 30 إلى 34.9 كسمنة
- يُصنَّف 35 إلى 39.9 كسمنة من الدرجة الثانية
- يُصنَّف أكثر من 40 كسمنة مفرطة أو من الدرجة الثالثة

كانت المرأة البالغة من العمر 61 عامًا، التي شكّلت الأطعمة فائقة المعالجة 29.5% من نظامها الغذائي (في الصورة A)، تمتلك مؤشر كتلة جسم أعلى قليلًا بلغ 32.6، وتمارس نشاطًا بدنيًا أقل بكثير من المرأة الأخرى (في الصورة B) التي بلغ مؤشر كتلة جسمها 31.8، وشكّلت الأطعمة فائقة المعالجة 87.1% من نظامها الغذائي.
قد يهمك أيضاً
ومع ذلك، أظهرت المرأة ذات الاستهلاك الأعلى لهذه الأطعمة ترخيمًا دهنيًا أكبر بكثير في عضلات فخذها.
وأشار الدكتور توماس لينك، رئيس قسم الأشعة العضلية الهيكلية بقسم الأشعة والتصوير الطبي الحيوي في جامعة كاليفورنيا، سان فرانسيسكو، إلى أن كمية السعرات الحرارية لم تكن العامل الحاسم.
وقال: "طوال الدراسة، لاحظنا أنّه كلما زاد استهلاك الشخص للأطعمة فائقة المعالجة، زادت كمية الدهون داخل عضلات الفخذ لديه، بغض النظر عن إجمالي السعرات الحرارية".
ومع أنّ الدراسة لم تثبت أنّ هذه الأطعمة هي السبب المباشر في ترخيم الدهون داخل العضلات، فإنّ العلاقة كانت قوية، بحسب بريديلا، التي قالت: "لكننا لا نعرف المدة التي يجب أن يستمر فيها تناول هذه الأطعمة حتى يحدث هذا التأثير. وإذا توقف الشخص عن تناولها، فهل يختفي ذلك؟".
وأضافت: "ما نعرفه هو أنّه إذا وُجد تسلل دهني إلى العضلات، فإن ممارسة الرياضة واتباع نظام غذائي صحي قد تحسن جودة العضلات بشكلٍ ملحوظ. الأمر أسهل لدى صغار السن، لكنه ممكن".
التخلص من الدهون.. كيف؟ينصح لينك بتجنب الرياضات التي تستخدم الكرات، مثل كرة السلة أو التنس، قائلًا: "لا نوصي بالتمارين عالية الشدة، لأنّها قد تُلحق ضررًا بمفصل الركبة. التمارين منخفضة التأثير هي الخيار الأفضل".
وينصح الخبراء باستهداف العضلات المحيطة بالركبة، مثل العضلات الرباعية، وعضلات باطن الركبة، وعضلات الأرداف، وعضلات الساق.
ويمكن القيام بذلك من خلال تمارين مثل القرفصاء على الحائط، والصعود على منصة، ورفع الساق أثناء الوقوف، وتلك التي تركز على الفخذ الداخلي، إضافةً لتمارين رفع الكعب.
أمّا من الناحية الغذائية، فأكّدت بريديلا أنّ الأفضل هو تناول وجبات متوازنة من "الأطعمة الحقيقية" التي تُحضَّر في المنزل.
قد يهمك أيضاً
تم ادراج الخبر والعهده على المصدر، الرجاء الكتابة الينا لاي توضبح - برجاء اخبارنا بريديا عن خروقات لحقوق النشر للغير




